欢迎访问微众生物企业官网!
首页
普通病理
分子病理
免疫组化
免疫荧光
Tunel染色
原位杂交
超微病理
透射电镜
扫描电镜
图像分析
切片数字扫描
激光共聚焦拍照
资源中心
示例展示
常见染色方法
新闻中心
公司动态
行业动态
专业知识
联系我们
微众简介
联系方式
新闻中心
公司动态
行业动态
专业知识
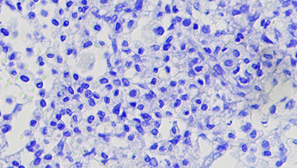
瑞氏-吉姆萨染色 原理 步骤
2024-08-06
瑞氏-吉姆萨染色(Wright-Giemsa Staining)原理:瑞氏染料由酸性染料伊红和碱性染料亚甲蓝组成。血红蛋白、嗜酸性颗粒为碱性蛋白质,与酸性染料伊红结合呈红色;细胞核蛋白和淋巴细胞胞浆为酸性蛋白质,与碱性染料美蓝或天青结合,呈紫蓝色;中性颗粒呈等电状态与伊红和美蓝均可结合,呈淡紫色。吉姆萨染料由伊红,天青组成...
查看全文
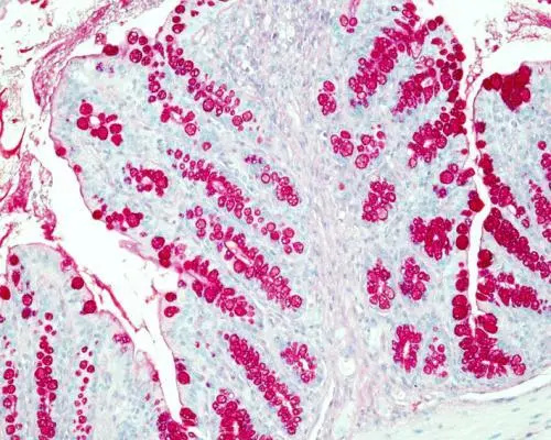
干货分享 | PAS染色教程
2024-08-05
一、简介PAS(Periodic Acid-Schiff stain)染色又称过碘酸雪夫染色,糖原染色。一般用来显示糖元和其它多糖物质,还可以观察肾小球基底膜、结肠杯状细胞中性黏液物质、阿米巴滋养体和霉菌的着色。其原理是过碘酸能使细胞内的多糖乙二醇基氧化成二醛,再与Schiff氏液的无色品红结合,红色,定位于胞浆上。二、染色流程1. 切...
查看全文
详解Trap染色
2024-08-04
染色原理抗酒石酸酸性磷酸酶(tartrate-resistant acid phosphatase,TRAP) 是破骨细胞的特异性标志酶,酒石酸盐抵抗的酸性磷酸酶在酒石酸环境中,水解荼酚磷酸盐,产生的 a-蔡酚与重氮副品红偶联形成不溶性的紫红色沉淀。骨组织中的破骨细胞分泌酒石酸盐抵抗的酸性磷酸酶,用此方法可显示骨组织中破骨细胞的活性.此方法适用于...
查看全文
详解H&E染色步骤
2024-08-03
H&E染色,全称为苏木精-伊红染色(HematoxylinandEosinstaining),是病理学中最常用的染色方法之一。这种染色方法可以清晰地显示组织的形态结构和某些病理变化。H&E染色的原理主要涉及到染色剂和组织中的生物大分子(如蛋白质)之间的化学反应。苏木精是一种碱性染色剂,主要与含有酸性基团的组...
查看全文
尼氏染色操作流程
2024-08-02
尼氏染色法操作步骤:1.固定:可采用乙醇、Carnoy固定液或中性福尔马林溶液。2.组织切片:石蜡切片7~10μm或25μm(见注意事项4)。3.切片脱蜡入水。4.用甲基紫染色液涂片,染色10~20min。5.蒸馏水冲洗。6.用NisslDifferentiation分化4~8s,直到大部分染色被消除。7.直接经无水乙醇至二甲苯,显微镜下观察。8.如果有必要,重复...
查看全文
油红O染色实验操作流程
2024-08-01
一、油红O染色实验准备1、仪器耗材:生物组织摊烤片机、3DHISTECH扫描仪、显微镜、盖玻片、载玻片2、染色试剂:普拉特泽改良油红O染色液、甘油明胶、无水乙醇、二甲苯3、待测组织的冰冻切片二、油红O染色实验步骤1、冰冻切片厚度6~10 µm,不固定或10%福尔马林固定10 min后水洗。2、切片入蒸馏水中稍冲洗。3、切片入70%的乙...
查看全文
<<
<
···
6
7
8
9
10
···
>
>>